자매지 CNB저널⁄ 2009.05.25 10:39:49

강석민 세브란스 심장혈관병원 심장내과 부교수 각종 심장 질환으로 인해 심장의 펌프 기능이 떨어지면, 심장에 들어오는 혈액을 퍼낼 수 없으므로, 심장이 커지고 혈액 순환이 원활하지 못해 체액이 연약한 폐조직으로 스며들게 되어 폐부종이 발생하게 된다. 이를 심부전이라고 하는데, 심부전 상태가 되면 움직일 때 숨찬 증상이 가장 먼저 나타난다. ■심부전을 유발하는 주요 질환들 ① 관상동맥 질환 관상동맥 질환은 심장의 근육에 산소와 영양분을 공급하는 혈관의 일부 또는 전부가 막히는 상태이다. 혈관이 막힌 결과 심장근육 일부가 죽게 된다. 이러한 병을 심근경색증이라고 한다. 심근경색증은 40~75세의 사람들에게서 심부전을 일으키는 가장 흔한 원인이다. 관상동맥 질환의 위험인자는 흡연·고혈압·고지혈증·스트레스·비만·운동부족·노화(연령증가) 등이 있다. ② 고혈압 고혈압을 치료하지 않고 방치하면 심장에 부담을 주어 심장벽이 두꺼워지고 심장이 커지게 되며, 어느 정도까지는 잘 견디어내지만 시기가 지나면 심장의 펌프 기능이 떨어지게 된다. 고혈압 환자는 정상인보다 4배 더 심부전이 발생한다. 이러한 과정은 수년에 걸쳐 서서히 일어나므로, 초기에 고혈압을 발견하여 치료를 시작하면 이러한 심부전 발생을 늦추거나 막을 수 있다. ③ 심방세동 심방세동이란 심장의 일부분인 심방이 원래보다 빨리 뛰는 현상이다. 고혈압이 주된 원인 질환이고, 정상보다 과도하게 맥박이 빨라져서 심장이 빨리 지치게 되어 심부전을 유발할 수 있다. ④ 심장판막 질환 심장 안에 있는 판막의 운동에 장애가 생겨 잘 열리지 않거나 잘 닫히지 않으면 심장에 부담이 되어 심장기능이 떨어져 심부전을 일으킬 수 있다. 심장판막 질환을 수술하게 되면 심장 기능이 정상으로 돌아오는 경우가 있다. ⑤ 심장근육 질환(심근병증) 원인 모르게 심장근육이 손상되어 심장의 펌프 기능이 약해져서 심부전이 유발될 수 있다. 혹은 유전질환에 의해 심근병증이 생길 수도 있으며, 과도한 알코올(수년에 걸친 과음)은 심장근육에 영향을 미쳐 심부전의 원인이 되기도 한다. 때로는 바이러스 감염의 결과로 심근병증이 발생하기도 한다. ⑥ 기타 질환들 심부전 환자들은 심부전 증상을 악화시킬 수 있는 다른 질병 유무에 대한 검사를 받고, 가능하다면 그에 대한 질병 치료를 받아야 한다. 빈혈, 갑상선 질환, 콩팥 질환 등이 대표적인 질환들이다. .

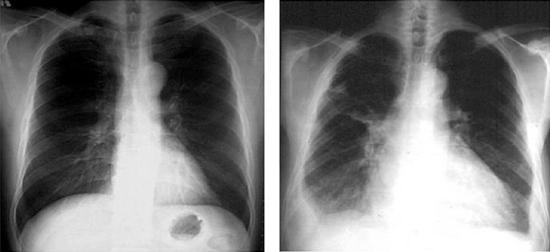
■심부전의 진단과 치료 방법 심부전을 진단하는 데에는 여러 가지 검사 방법이 있지만, 심장 초음파검사를 하면 심장근육과 심장판막이 어떻게 작동하는지 알려주고 심장이 뛰는 모습과 심장에 문제가 있는 부위를 알 수 있다. 심부전 환자를 진단하는데 있어 심장 초음파는 가장 핵심적인 검사 방법이다. 심부전의 치료에는 다음과 같은 방법들이 있다. ① 약물요법 심부전 환자는 일반적으로 약물 치료를 먼저 받는다. 심부전을 일으킬 수 있는 원인 질환이 있으면, 원인 질환을 치료하는 것이 원칙이다. 대부분의 환자에서 정상 심장 기능을 유지하기 위해서는 규칙적이고 장기적인 약물 치료가 필요한 경우가 많다. ② 수술요법 만약 심부전의 원인 질환이 심장의 구조적인 문제, 즉 심장판막 질환이거나 관동맥이 막힌 경우에는 수술적 치료가 필요할 수 있다. ③ 식사요법 심부전 환자에 대한 식사요법은 심장의 부담을 최소화하고 심근의 수축력을 올리는 것을 목적으로 한다. 과식은 심장에 부담을 주므로 피하고, 식사를 소량씩 나누어 섭취하도록 한다. 또한 과도한 비만은 그 자체가 심장에 부담을 주므로, 적절한 체중을 유지하는 것이 좋다. ·염분 제한염분은 몸속에서 수분을 붙잡고 있다. 몸속에서 늘어난 수분으로 인하여 심장은 더 많이 펌프질을 해야 하기 때문에 심부전 환자의 증상을 악화시킬 수 있다. 심부전 환자는 하루 염분 섭취를 5g 미만으로 제한하고 있다. 염분이 많은 음식을 피하고 싱겁게 먹어야 한다. ·수분 제한 체내의 많은 물은 심장을 더 피곤하게 만든다. 심부전 환자는 하루에 1.5~2ℓ로 수분 섭취를 제한해야 한다. ·고지방·고콜레스테롤 음식 제한 수분과 염분 제한 외에도, 심부전 환자는 고지방·고콜레스테롤 음식을 제한해야 한다. 이러한 음식들은 고지혈증 등과 같은 관상동맥 질환을 유발시켜 심부전의 원인이 되거나 증상을 악화시킬 수 있다. ④ 운동요법 예전에는 심부전 환자를 치료하는데에 무조건 안정 상태만을 권유하였지만, 최근에는 오히려 적절한 운동요법이 환자의 상태를 호전시키고 삶의 질을 높일 수 있다고 하여 점차 권장하고 있다. 심부전 환자는 대체로 운동 능력이 많이 떨어져 있으므로, 천천히 점진적으로 운동량을 증가시키는 것이 좋다. 따라서 격렬한 운동보다는 일상생활에서 손쉽게 할 수 있는 걷기운동부터 시작하는 것이 좋다. ■‘건강 맨’ 자신하다 심부전에 걸린 김 씨의 경우 다음은 심부전을 경험한 중년 남성 김모 씨에 대한 이야기이다. 65세인 이 남성은 젊었을 때 아마추어 레슬링 선수였을 정도로 건강에는 누구보다도 자신이 있던 사람이었다. 그런데 5년 전부터 혈압이 높다는 얘기를 들었으나, 증상이 없고 젊었을 때의 건강을 자신하면서 자신의 혈압에 관심을 가지지 않았다. 친구들을 만날 때에도 과거 자신의 건강을 자랑하면서 과음을 하게 되고 지속적으로 흡연도 하였다. 그러나 내원 한 달 전부터 운동할 때 호흡 곤란과 다리가 부어 오르는 증상으로 심장내과 외래를 방문하였다. 내원 당시 혈압은 180/90mmHg였고, 흉부 X-선상에 심장이 정상보다 심하게 커져 있었으며, 맥박도 불규칙하였다. 심전도상 심방세동이라는 부정맥 소견을 보였다. 심장 초음파검사 결과 심장 기능이 현저히 감소되어 정상인의 1/2밖에 되지 않았다. 김 씨는 심장내과 의사로부터 고혈압에 의한 중증 심부전이라는 진단을 받고, 그 동안 건강을 챙기지 못한 것을 후회하였다. 앞으로는 의사의 권고를 받아 규칙적인 생활과 혈압 조절을 하기로 마음을 먹었다. 고혈압 약제를 정기적으로 복용하고, 고염분 식이습관을 고치면서 규칙적인 생활 습관을 유지하였다. 그렇게 1년이 지난 후 김 씨의 혈압은 정상으로 유지되고, 감소된 심장 기능도 정상으로 회복되어, 현재는 특별한 심부전 증상 없이 외래에서 추적 관찰 중이다